誤信高血壓容忍度 腦中風心肌梗塞找上門

陳玲芳 |2022.01.26
924觀看次
字級
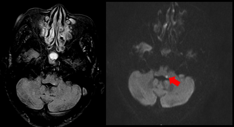
透過腦部核磁共振檢查,箭頭處亮點為血管梗塞位置;醫師診斷八旬婦為腦幹梗塞型中風。圖/恩主公醫院

【記者陳玲芳台北報導】八旬婦人誤信Line訊息說「年紀愈大,血壓可以容忍度愈高」,而以「年齡加上80」,當作自身可容忍的血壓範圍;因而導致平常血壓飆破160,終至急性心肌梗塞送醫。醫師提醒,高血壓併發症,往往在不知不覺中發生,一旦當嚴重併發症產生,往往病患已發生心肌梗塞或腦中風,甚至死亡;高齡者本身若同時罹患糖尿病與高血壓,更是腦中風的高危險群。

恩主公醫院神經內科醫師朱海瑞,日前收治一名80歲婦人,本身有糖尿病與高血壓,某天起床時感到頭暈目眩,甚至想吐,家人以為是剛起床還沒吃飯、血糖過低;但是吃完早餐後,仍覺得頭暈不適,被家人送至急診就醫,因考量到婦人80歲高齡、且有心血管病史,因此會診神經內科,透過腦部核磁共振檢查,診斷婦人為腦幹梗塞型中風。

朱海瑞表示,腦中風又分出血型與梗塞型,約有八成是腦血管梗塞造成,一般是無預警發生,臨床症狀上大多有單側手腳無力、臉部歪斜、口齒不清等症狀,年長者、高血壓與高血脂等慢性病患者,都是高危險群。

82歲婦人,有三高問題,雖然在診所拿慢性三高藥物,但時常漏吃或忘記吃;加上曾收到Line訊息說「年紀愈大,血壓可以容忍度愈高」,平常血壓往往飆破160;直到某次半夜起床如廁,忽然胸痛、冒冷汗幾近暈厥,被家人緊急送醫治療,確診「急性心肌梗塞」發作,經緊急心導管支架手術處理,以及嚴格控制血壓、血脂及血糖,慢慢恢復正常生活。

國泰醫院心血管中心主治醫師陳玠宇表示,高血壓又稱「隱形殺手」,台灣成年人平均每4人就有1人罹患高血壓,病人往往暴露在風險中而不自知。正常人的血壓,收縮壓應小於120毫米汞柱,且舒張壓應小於80毫米汞柱(兩者皆須達標),若診間量測收縮壓超過140毫米汞柱,或舒張壓超過90毫米汞柱,即為高血壓;若介於中間者,則稱作血壓偏高,或高血壓前期。

台灣高血壓學會及心臟醫學會建議,量測血壓應把握基本「722原則」:1周量7天,每天量早晚2回,每回量2次(每次間隔1分鐘),若有心律不整,則需每回量三次。

陳玠宇建議患者,平日養成規律量血壓習慣,一旦發現血壓上升、無法在短時間內回復,即需適時輔以藥物控制,並調整生活型態及飲食,若有需要也可考慮使用新一代高血壓導管治療。

高血壓導管治療模式,類似一般心導管治療,鼠蹊部打針,隔天即可出院。圖/國泰醫院

熱門新聞
訂閱電子報
台北市 天氣預報   台灣一週天氣預報

《人間福報》是一份多元化的報紙,不單只有報導佛教新聞,乃以推動祥和社會、淨化人心為職志,以關懷人類福祉、追求世界和平為宗旨,堅持新聞的準度與速度、廣度與深度,關懷弱勢族群與公益;強調內容溫馨、健康、益智、環保,不八卦、不加料、不阿諛,希冀藉由優質的內涵,體貼大眾身心靈的需要、關懷地球永續經營、延續宇宙無窮慧命,是一份承擔社會責任的報紙。自許成為「社會的一道光明」的《人間福報》任重而道遠,在秉持創辦人星雲大師「傳播人間善因善緣」的理念之際,更將堅持為社會注入清流,讓福報的發行為人間帶來祥和歡喜,具體實現「人間有福報,福報滿人間」的目標。
人間福報社股份有限公司 統編:70470026

 
聯絡我們 隱私權條款

Copyright © 2000-2024 人間福報 www.merit-times.com.tw
All Rights Reserved.