背痛頻尿求診 竟是骨折併腰椎滑脫壓迫神經

王淑芬 |2023.03.12
1581觀看次
字級
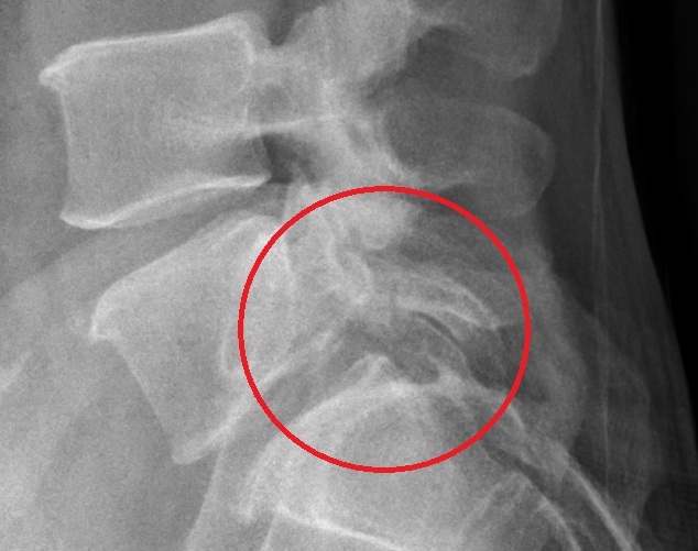
男子腰椎第5節椎弓骨折,經醫院以水介質震波治療,紓解其腰痛,也解決了導致腸躁及頻尿的問題。圖/活力得中山脊椎外科醫院提供

【記者王淑芬高雄報導】一名中年男子因為腸躁及頻尿困擾,分別求醫接受檢查與治療,卻未見明顯改善,後來因為下背疼痛赴醫院檢查出是骨折併腰椎滑脫等問題,經以非侵入性的水介質震波治療骨折,不僅癒合也紓解腰痛,連帶腸躁與頻尿問題都不藥而癒。

「活力得中山脊椎外科醫院」收治這名病患後,檢查發現是骨折併腰椎滑脫且壓迫神經,於是建議以非侵入性的水介質震波治療骨折,大大改善了患者腰椎疼痛的問題。

「活力得中山脊椎外科醫院」院長楊椒喬指出,患者曾經意外跌倒,常下背疼痛,在北部醫院就醫,檢查發現腰椎第5節有椎弓骨折,又患者說有腸躁與頻尿的困擾,且經過不同科別檢查與治療,卻未能有效改善其疼痛。

楊椒喬指出,患者不想因手術耽誤工作,於是醫院建議採非侵入性的水介質震波,原理是以高能量聲波撞擊組織,使患部產生發炎反應,藉以刺激產生新的生長因子,進而加速骨質生長及癒合。

他說,水介質震波在門診即可接受治療,不需住院,除了能避免手術風險並可免手術衍生的術後照顧與恢復期長的問題。

楊椒喬說,患者接受每周一次約4000發的高能量骨癒合震波,前後共8次治療,他的椎弓骨折處已出現明顯生長讓骨折處癒合,除了紓解腰痛,連帶惱人的腸躁與頻尿的問題,都一併解決,不再困擾他。後續並持續再接受2次治療,以完整的療程達到骨癒合的療效。

熱門新聞
訂閱電子報
台北市 天氣預報   台灣一週天氣預報

《人間福報》是一份多元化的報紙,不單只有報導佛教新聞,乃以推動祥和社會、淨化人心為職志,以關懷人類福祉、追求世界和平為宗旨,堅持新聞的準度與速度、廣度與深度,關懷弱勢族群與公益;強調內容溫馨、健康、益智、環保,不八卦、不加料、不阿諛,希冀藉由優質的內涵,體貼大眾身心靈的需要、關懷地球永續經營、延續宇宙無窮慧命,是一份承擔社會責任的報紙。自許成為「社會的一道光明」的《人間福報》任重而道遠,在秉持創辦人星雲大師「傳播人間善因善緣」的理念之際,更將堅持為社會注入清流,讓福報的發行為人間帶來祥和歡喜,具體實現「人間有福報,福報滿人間」的目標。
人間福報社股份有限公司 統編:70470026

 
聯絡我們 隱私權條款

Copyright © 2000-2024 人間福報 www.merit-times.com.tw
All Rights Reserved.