前胸到後背瞬間劇痛 小心致命的主動脈剝離

陳玲芳 |2021.11.24
949觀看次
字級
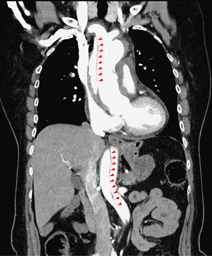
除了劇痛外,主動脈剝離也可能因血流受阻,影響其他器官。圖/北市聯醫

【記者陳玲芳台北報導】新冠疫苗開打以來,傳出數起接種後因「主動脈剝離」而猝死的個案,引發民眾關注。醫師指出,主動脈剝離是一種罕見但致死率極高的心血管急症,最典型症狀是胸口突然出現撕裂般劇痛,且可能延伸至後背,隨著血液輸送受阻,全身其他器官都可能出現症狀。主動脈剝離病人約7成有高血壓,民眾平時需控制好三高及慢性病,若有遺傳性疾病,更要提高警覺。

台北市立聯合醫院陽明院區心臟血管內科主治醫師李穎灝指出,主動脈是身體最大的動脈,心臟打出血液後,透過主動脈將血液輸送全身各處。主動脈有三層結構,當血管壁經長年血流沖刷及慢性病摧殘後,內層可能形成裂縫,血液流入內層與中層之間,形成「假腔」,擠壓到「真腔」(正常的血流途徑),導致血液供應受阻。

主動脈剝離依發病位置,分為A、B型。狀如拐杖的主動脈,上行部分稱為升主動脈,轉彎部分是主動脈弓,下行部分則為降主動脈。剝離位置影響到升主動脈的屬於A型,未影響升主動脈的則為B型。A型容易產心臟相關的併發症,死亡率較B型高,若未緊急手術,發病48小時內致死率可高達50%。

典型的主動脈剝離症狀,在血管裂開時,會產生像刀割、肌肉撕裂般劇痛,疼痛的表現往往是發作就達到最高,甚至是一輩子都沒有過的劇痛;心肌梗塞一般則是像重物壓迫的悶痛,且可能有下巴或左肩的轉移痛。主動脈剝離發生在升主動脈,通常以胸痛表現,若在降主動脈則會表現下背痛。

李穎灝表示,這些疼痛症狀和打疫苗產生的全身痠痛大不相同,但如果剛好發生在打疫苗後,病人可能難以分辨,誤以為是打疫苗所引發。

除了劇痛外,主動脈剝離也可能因血流受阻影響其他器官。在心臟,可能出現心包膜填塞、心肌梗塞;在腦部,可能導致意識不清、中風等;在腸道,可能導致腸缺血,造成腹痛;甚至可能影響到下肢,腳也會痛。因此,主動脈剝離有「偉大的模仿者」之稱,可能以各種症狀來表現。

主動脈剝離危險因子,主要是各種導致血管脆弱的疾病,包括三高(高血壓、高血脂、高血糖)控制不佳,以及有抽菸習慣等。另外,有遺傳性結締組織疾病(如馬凡氏症候群),或是藥物濫用(如古柯鹼),也可能影響血管健康。預防之道,就是要遠離危險因子,保持血管健康。

熱門新聞
訂閱電子報
台北市 天氣預報   台灣一週天氣預報

《人間福報》是一份多元化的報紙,不單只有報導佛教新聞,乃以推動祥和社會、淨化人心為職志,以關懷人類福祉、追求世界和平為宗旨,堅持新聞的準度與速度、廣度與深度,關懷弱勢族群與公益;強調內容溫馨、健康、益智、環保,不八卦、不加料、不阿諛,希冀藉由優質的內涵,體貼大眾身心靈的需要、關懷地球永續經營、延續宇宙無窮慧命,是一份承擔社會責任的報紙。自許成為「社會的一道光明」的《人間福報》任重而道遠,在秉持創辦人星雲大師「傳播人間善因善緣」的理念之際,更將堅持為社會注入清流,讓福報的發行為人間帶來祥和歡喜,具體實現「人間有福報,福報滿人間」的目標。
人間福報社股份有限公司 統編:70470026

 
聯絡我們 隱私權條款

Copyright © 2000-2024 人間福報 www.merit-times.com.tw
All Rights Reserved.