手大未必好福氣 他肢端肥大症上身

陳玲芳 |2022.07.06
767觀看次
字級
神經外科主治醫師詹雲凱(左)以及耳鼻喉科主任王瀛標(右),共同進行經鼻內視鏡手術移除腦下垂體腫瘤。圖/馬偕醫院提供

【記者陳玲芳台北報導】命相學有所謂「男人手大掌官印」說法。50歲上班族陳先生,近二年來容貌外觀產生不小的變化,一開始額頭及下巴變得愈來愈突出,接著鼻子與手掌也變大了;其身高並無改變,但鞋子卻愈穿愈緊、愈換愈大,就醫診斷,發現罹患「肢端肥大症」,經醫師評估,接受腦部微創手術後,已逐步改善復原中。

肢端肥大症是一種少見的疾病,常因腦下垂體腫瘤不正常分泌生長激素所導致,患者除了外觀上產生很明顯的改變外,也會有多汗多油、皮膚變粗及性功能障礙等問題,雖然是一種漸行性的疾病,但因臟器也會隨著內分泌的不正常而增生膨大,若未能即時發現並治療,平均壽命約減少5-10年。

馬偕醫院神經外科主治醫師詹雲凱表示,陳先生經由內分泌暨新陳代謝科診斷為肢端肥大症後,核磁共振影像進一步定位長在腦下垂體的腫瘤;以往類似陳先生這樣必須接受腦部手術的病人,必須先在頭部劃下一道長長的手術傷口,並取下大範圍的頭骨後,才能進行腦部腫瘤的手術切除。

現在透過腦瘤微創手術,以及經鼻內視鏡顱底手術的精進,陳先生可免於在手術室裡接受傳統大型的開顱手術。詹雲凱表示,腦瘤微創手術必須具備「最大範圍切除」與「最小程度破壞」兩大特點,手術過程中,需具備清晰之內視鏡影像系統,搭配精良的術中導航系統,以利準確定位腫瘤及提供即時新的影像。

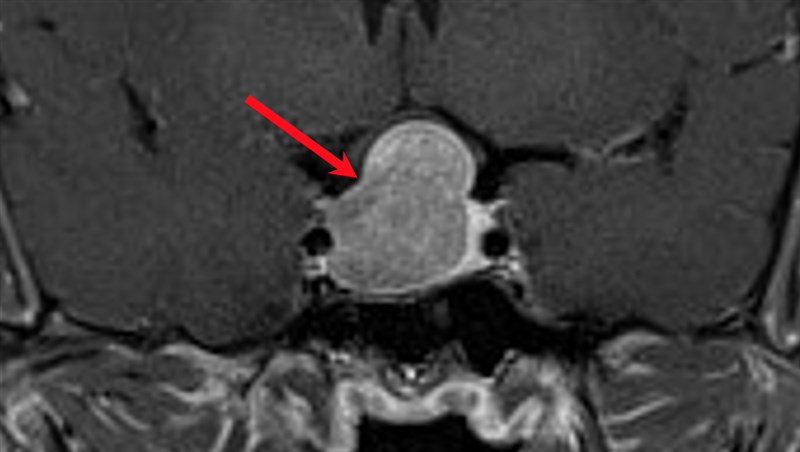
術前腦部核磁共振影像之正面切面,紅色箭頭處為腦下垂體腫瘤之位置。圖/馬偕醫院提供

馬偕醫院內分泌暨新陳代謝科主治醫師黃俊達表示,陳先生接受神經外科腦下垂體腫瘤「連根拔除」手術後,大手大腳與外觀變化的情況已逐漸改善,目前仍持續在門診追蹤。

臨床上,肢端肥大症年發生率約為每百萬人約2-11人,手術的治癒率與腦下垂體腫瘤大小及外科醫師的經驗有關,針對小於1公分的腫瘤,手術治癒率可高達75%,但如果已經侵犯到周邊組織的較大腫瘤,手術治癒率則降至30-50%,無法透過手術解決問題時,則必須仰賴長時間的藥物治療。

黃俊達指出,肢端肥大症者已膨大的臟器是「回不去了」,確診後的第一要務,就在為臟器膨大設定「停損點」;在治療時,也會特別注意受到影響的臟器功能性。由於此類病人,易有較高罹患高血壓、糖尿病、心臟肥大,以及因舌頭肥大導致「睡眠呼吸中止症」的風險,因此,規則追蹤返診,處理因生長激素過多導致的共病現象,十分重要。

熱門新聞
訂閱電子報
台北市 天氣預報   台灣一週天氣預報

《人間福報》是一份多元化的報紙,不單只有報導佛教新聞,乃以推動祥和社會、淨化人心為職志,以關懷人類福祉、追求世界和平為宗旨,堅持新聞的準度與速度、廣度與深度,關懷弱勢族群與公益;強調內容溫馨、健康、益智、環保,不八卦、不加料、不阿諛,希冀藉由優質的內涵,體貼大眾身心靈的需要、關懷地球永續經營、延續宇宙無窮慧命,是一份承擔社會責任的報紙。自許成為「社會的一道光明」的《人間福報》任重而道遠,在秉持創辦人星雲大師「傳播人間善因善緣」的理念之際,更將堅持為社會注入清流,讓福報的發行為人間帶來祥和歡喜,具體實現「人間有福報,福報滿人間」的目標。
人間福報社股份有限公司 統編:70470026

 
聯絡我們 隱私權條款

Copyright © 2000-2024 人間福報 www.merit-times.com.tw
All Rights Reserved.