56歲男吸電子菸身體急速變差 想戒斷卻發現肺壞了

 |2021.09.02
734觀看次
字級
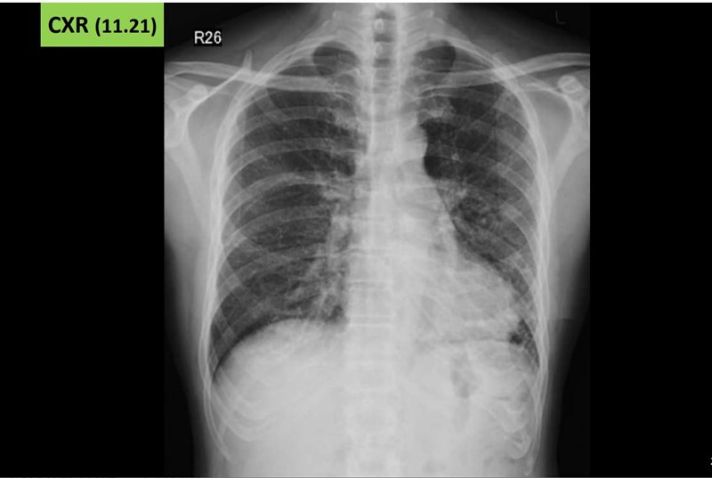
56歲男子嘗試電子菸,短短吸兩周後開始不舒服,兩個月後發現肺部嚴重損傷。圖/王鶴健提供

【本報台北訊】使用電子煙短短兩周竟引發嚴重肺損傷。一名56歲男子一天一包菸,連續抽38年,有天老菸槍想嘗試電子菸,短短吸兩周後發現,運動開始會喘、乾咳,甚至食慾開始變差。他的症狀持續兩個月後,決心要戒菸,赴門診檢查發現,肺部已經泛白浸潤,有發炎現象,肺功能降到同齡者的6、7成,確診肺損傷。

電子菸危害不在話下,其成分複雜,因個人體質造成的危害也不同。台灣胸腔暨重症醫學會理事長王鶴健說,電子煙油含丙二醇、甘油、尼古丁與其他化學品,如水果味、薄荷味、 焦糖味,等化學香精與增溶劑,已知有近 1萬6千種添加物用於煙油調味。

電子菸油加熱後,釋放出甲醛、乙醛,分別為一、二級致癌物,還有重金屬,像是鉻、錳、鎳、鉛。澳洲研究,電子煙可檢出超過164種有毒物質,造成人體嚴重傷害,尤其是肺部。美國則是在2007年允許電子煙進入市場,幾年後發現肺部新興疾病,美CDC特別在2019年,正式將電子菸引發的肺部疾病,如肺部損傷等,命名為「EVALI」 。

收治這名男子的王鶴健說,肺損傷是否為「EVALI」,必須先排除新冠病毒,或相關感染引起,而醫師在問診時,也會特別詢問是否有抽菸習慣,並加問是否吸食電子菸,因為民眾會認為,電子菸根本不算是菸品。

該男子經檢查發現,肺部確實有異常,肺功能降到同年齡層的6、7成,肺容量已明顯變小,氣體交換變差,甚至住院沒有改善,進一步切片發現,肺部有纖維化現象。王鶴健提醒,電子菸成分不明,有些不良業者甚至會加入大麻油成分,這都是加速急性肺損傷的因素。

另外,美國在電子菸進入市場後發現,有20%的青少年使用過相關產品。王鶴健呼籲,電子菸是青少年使用紙菸的入門,使用電子煙的兒童與青少年,未來吸紙菸動機更是高出兩倍,除增加一般心血管疾病風險外,也增加罹患新冠病毒與重症風險。

熱門新聞
訂閱電子報
台北市 天氣預報   台灣一週天氣預報

《人間福報》是一份多元化的報紙,不單只有報導佛教新聞,乃以推動祥和社會、淨化人心為職志,以關懷人類福祉、追求世界和平為宗旨,堅持新聞的準度與速度、廣度與深度,關懷弱勢族群與公益;強調內容溫馨、健康、益智、環保,不八卦、不加料、不阿諛,希冀藉由優質的內涵,體貼大眾身心靈的需要、關懷地球永續經營、延續宇宙無窮慧命,是一份承擔社會責任的報紙。自許成為「社會的一道光明」的《人間福報》任重而道遠,在秉持創辦人星雲大師「傳播人間善因善緣」的理念之際,更將堅持為社會注入清流,讓福報的發行為人間帶來祥和歡喜,具體實現「人間有福報,福報滿人間」的目標。
人間福報社股份有限公司 統編:70470026

 
聯絡我們 隱私權條款

Copyright © 2000-2024 人間福報 www.merit-times.com.tw
All Rights Reserved.