抓病灶 低劑量電腦斷層讓肺結節無所遁形

王淑芬 |2023.04.04
1086觀看次
字級
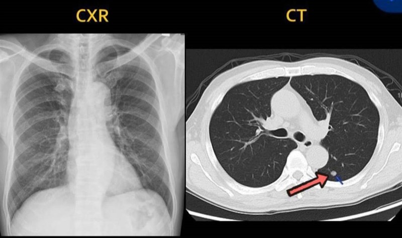
張男的X光檢查沒有異狀,但是電腦斷層卻有肺結節。圖/阮綜合醫院提供

【記者王淑芬高雄報導】57歲的張男健檢X光檢查沒有異常,但透過電腦斷層篩檢發現左肺有肺結節。73歲的阿嬤大腸鏡檢查正常,但血液癌症指數卻標也經電腦斷層發現右肺葉有2顆腫瘤。醫生建議早期肺癌藉低劑量電腦斷層診斷及追蹤有助於提高治癒率。

阮綜合醫院胸腔外科醫師戴碩瑩今天指出,張男於門診就醫自訴有40年菸齡,偶有輕微胸痛。就醫透過X光檢查沒有異常,後來再以電腦斷層檢查發現左肺有0.7公分肺結節,於是醫院為張男以傷口小、預後快的「單孔胸腔鏡」微創手術做治療,所幸病理檢查結果為良性肺結節,終於讓張男意識到健康的重要,開始戒菸了。

另外,73歲的林阿嬤常常拉肚子,經大腸鏡檢查無異常,但血液癌症指數是4.3,已高於標準的3。醫師安排阿嬤X光及電腦斷層檢查,結果X光顯示沒有異常,但在電腦斷層篩檢出右上肺葉及右中肺各有腫瘤。醫師考量阿嬤年事已高,採用「單孔胸腔鏡」微創手術為阿嬤做切除治療,術後血液癌症指數降為1.3,目前持續追蹤中。

戴碩瑩指出,兩名患者都使用「單孔胸腔鏡」做微創手術為患者切除病灶,出血少,疤痕小,疼痛感輕微,且患者住院天數短,能及早回復日常生活。

醫師表示,十大死因中,惡性腫瘤居首位,而肺癌又是十大癌症死亡人數的第一名。醫師鼓勵民眾做健檢,只是腫瘤大到1分以上才會被X光偵測到,低劑量電腦斷層可以偵測3至4mm大小的肺結節。

戴碩瑩說,肺癌初始症狀不明顯,胸部X光檢驗不易偵測,建議早期肺癌藉助低劑量電腦斷層診斷及追蹤。45歲以上民眾如屬於高風險族群者盡早作篩檢,能提高治癒及存活率。

熱門新聞
訂閱電子報
台北市 天氣預報   台灣一週天氣預報

《人間福報》是一份多元化的報紙,不單只有報導佛教新聞,乃以推動祥和社會、淨化人心為職志,以關懷人類福祉、追求世界和平為宗旨,堅持新聞的準度與速度、廣度與深度,關懷弱勢族群與公益;強調內容溫馨、健康、益智、環保,不八卦、不加料、不阿諛,希冀藉由優質的內涵,體貼大眾身心靈的需要、關懷地球永續經營、延續宇宙無窮慧命,是一份承擔社會責任的報紙。自許成為「社會的一道光明」的《人間福報》任重而道遠,在秉持創辦人星雲大師「傳播人間善因善緣」的理念之際,更將堅持為社會注入清流,讓福報的發行為人間帶來祥和歡喜,具體實現「人間有福報,福報滿人間」的目標。
人間福報社股份有限公司 統編:70470026

 
聯絡我們 隱私權條款

Copyright © 2000-2024 人間福報 www.merit-times.com.tw
All Rights Reserved.